REGIST LOGIN

로그인 회원가입

> 연구소 > 논문 / 학술활동

연구소 마마파파&베이비의 핵심인 베이비 드림 난임 연구소는
그간의 연구학술 성과에 안주하지 않고,
늘 한계를 뛰어넘기 위해 노력합니다.

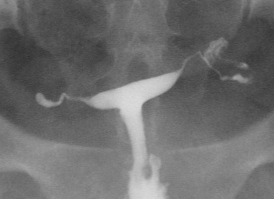
일측 난관수종이 있는 경우, 거의 절반의 경우 반대쪽 난관에 이상이 있어 추가적인 수술이 필요하다.

2015년 유럽불임학회(ESHRE) P-769 Almost half of unilateral hydrosalpinx need additional contralateral fallopian tubal surgery (일측 난관수종이 있는 경우, 거의 절반의 경우 반대쪽 난관에 이상이 있어 추가적인 수술이 필요하다.)

H. G. Sun1, K. H. Lee1, I. H. Park1, H. J. Chi1, S. G. Kim1, K. H. Maeng1, S. J. Kwak1, J. Y. Park1
1Mamapapa&baby Obstetrics Gynecology Clinic, OB&GY, Ulsan City, South Korea

Study question

When we perform unilateral salpingectomy due to unilateral hydrosalpinx on HSG, is really contralateral fallopian tube normal?

Summary answer

With a unilateral hydrosalpinx on HSG, abnormalities in contralateral fallopian tube were found in 45.6% and performed additional surgeries salpingectomy or fimbrioplasty.

What is known already

Tubal factor is about one third causes of infertility. For tubal factor evaluation, the most commonly used tests are hysterosalpingography (HSG) and laparoscopy. HSG has high specificity for diagnosis of tubal occlusion and low sensitivity in cases with peritubal adhesions. Tubal patency on HSG does not necessarily indicate normal tubal function. Among women with patent tubes on HSG, 18% were found to have tubal obstruction or peritubal adhesions on laparoscopy.

Study design, size, duration

This retrospective study included 178 salpingectomy cases due to hydrosalpinx on HSG between January 2010 and December 2014.

Participants/materials, setting, methods

Total 178 cases salpingectomy were performed. 99 cases were excluded (69 cases - bilateral salpingectomy due to bilateral hydrosalpinx, 30 cases – unilateral salpingectomy due to unilateral hydrosalpinx with contralateral tubal obstruction on HSG/previous salpingectomy).

Main results and the role of chance

We analyzed 79 cases with unilateral hydrosalpinx and contralateral normal patency on HSG. Among 79 cases, 43 cases were performed only unilateral salpingectomy (US). 14 cases were performed US and contralateral salpingectomy due to unexpected hydrosalpinx. 22 cases were performed US and contralateral fimbrioplasty or adhesiolysis due to peritubal adhesion or abnormal result on dye test. Therefore in case of unilateral hydrosalpinx on HSG, 45.6% (36/79) were found abnormality of contralateral tube and needed additional surgery.

Limitations, reason for caution

The subjectivity of radiologists may be involved in interpretation of HSG. Also during operation, the subjectivity of surgeon may be involved in decision making of contralateral tubal surgery.

Wider implications of the findings

An abnormal tubal condition affects negatively natural pregnancy or IVF outcomes, therefore proper surgery is needed. Among women with normal tubes on HSG, 18% were found abnormalities on laparoscopy. But with unilateral hydrosalpinx, proportion of requiring opposite fallopian tubal surgery is increased by 45.6%. Therefore, in case of elective unilateral salpingectomy due to unilateral hydrosalpinx on HSG, operators must examine opposite tube carefully and make full explanation about incidental bilateral salpingectomy and possibility of IVF.

  • 2016년 유럽불임학회(ESHRE) P-062 인공수정시술을 하기 전 얼마나 오래 금욕을 해야 하는가?
  • 2015년 미국불임학회(ASRM) P-344 과배란 인공수정에서 매일 황체기 보강을 하는 것이 임신율 향상에 도움을 준다.
  • 2015년 미국불임학회(ASRM) P-267 자연주기에서 단순화한 검사에 의한 동결란 이식은 체외수정시술결과에 영향을 주지 않는다.
  • 2015년 유럽불임학회(ESHRE) P-769 일측 난관수종이 있는 경우, 거의 절반의 경우 반대쪽 난관에 이상이 있어 추가적인 수술이 필요하다.
  • 2014년 미국불임학회(ASRM) P-822 경미한 희소정자증을 보일 때 미세수정을 통한 시험관 시술이 반드시 필요한가?
  • 2014년 유럽불임학회(ESHRE) P-045 반복 유산 여성에서 미세수정을 통한 시험관 시술은 자연 유산을 감소시키지 않는다.
  • 2014년 유럽불임학회(ESHRE) P-506 과배란시험관 시술 시에 hCG 주사일에 FSH 투여하는 것이 미치는 영향
  • 2013년 유럽불임학회(ESHRE) P-495 시험관 시술에서 황체기 보강을 위해 질내 프로게스테론 젤에 추가로 저용량의 hCG를 투여하는 것의 효과